Kidney Stone Prevention
Quick Navigation
- Patient Guidance
The Urinary Tract

The kidneys are responsible for the production of urine. Urine drains into the bladder via two hollow tubes called the ureters. The urethra connects to the base of the bladder and drains the urine outside the body. The kidneys, ureters, bladder and urethra are collectively known as the urinary system or urinary tract.
Figure 1: The Anatomy of the Urinary Tract
- Kidney Stones

Stones, also known as calculi, can form in any part of the urinary tract. 50% of patients presenting with a stone will develop further stones over the next 10 years. It is therefore important to try to minimise the risk of further stone formation by following certain advice.
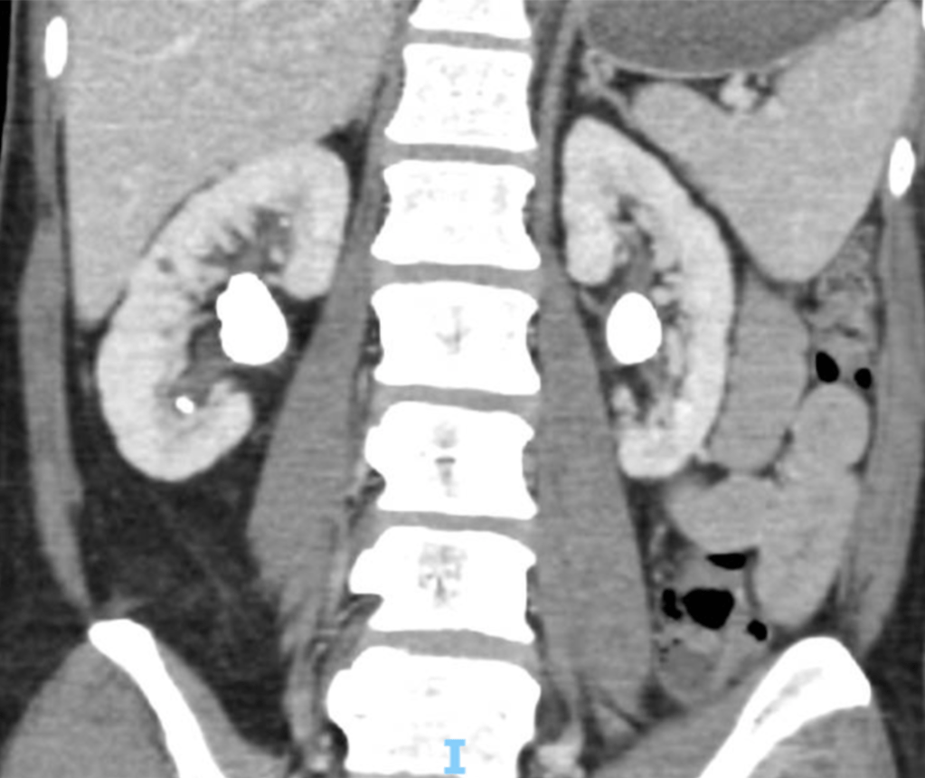
Figure 2: Bilateral Kidney Stones on CT Scan
It is worth remembering that different people may form different kinds of stone. The information contained here consists mainly of general advice for all stone formers. More specific advice may be applied to patients where the type of stone is known. Your stone would need to be sent away for analysis in order to determine the kind of stone present. We would encourage you to try to catch your stone if possible by sieving your urine or looking for your stone following passing urine. This would allow us to send your stone for analysis. Some patients will be referred for more detailed tests, especially if there is a strong family history, early age at onset or recurrent stone formation.
- Prevention
General Advice
- Fluid
All of us become dehydrated from time to time and kidney stone formation is strongly associated with dehydration. It is important to drink plenty of fluid, especially in the summer months or when in a warm climate. You should aim to drink enough fluid to produce at least two litres of urine per day. This usually means drinking well over two litres of fluid each day. It is particularly important to keep well hydrated at night, when urine is normally most concentrated. It is advisable to drink fluids before bedtime and once during the night to prevent the urine becoming too concentrated.
If you notice that you have become dehydrated during a busy day, for instance, you should aim to drink enough water to prompt you to pass water twice over a short space of time. The second void should be crystal clear to ensure that you have cleared all of the stone crystals that have formed.
Alcohol, when taken in moderation, is safe for people who form stones. The recommended guidelines are 14 units per week for women and 21 units per week for men (1 unit=125ml glass of wine, half pint of beer or lager, or a single shot of spirits).
In summary, you should aim to drink more fluid, preferably water, on a daily basis. This is the single most important step you can take to prevent kidney stones of all types.
People who are more active are less likely to get stones. Obese patients are particularly at risk for stones, mainly due to increased water loss in the form of sweat. Exercise and weight loss are important in the prevention of stones.
- Exercise
People who are more active are less likely to get stones. Obese patients are particularly at risk for stones, mainly due to increased water loss in the form of sweat. Exercise and weight loss are important in the prevention of stones.
- Sodium
Sodium is a salt found in many foods. The kidney eliminates excess sodium from the body alongside calcium; therefore high sodium diets increase the sodium and calcium levels in the urine. This can predispose to stone formation. It is recommended that patients known to form stones should follow a low sodium diet. This can be achieved by avoiding foods rich in salt, for example, crisps, smoked and tinned foods and instead choosing “low salt” varieties. Salt should not be added to foods during cooking or at the table. Excess salt helps kidney stones form.
- Calcium
In the past, doctors commonly recommended that people with a history of kidney stones restrict calcium intake. More recent studies suggest that this is not advisable and may even be dangerous. Dietary calcium restriction may contribute to the risk of osteoporosis as well as increasing the absorption of oxalate (see paragraph on oxalate stones). Patients who have been shown to have abnormally high calcium concentrations in the blood will require further investigation to find the cause to allow treatment. Unless told otherwise, you should take normal healthy amounts of calcium rich foods in your diet, for example, cheese and milk.
You should have a normal intake of calcium. Reducing calcium is no longer advised for kidney stone prevention.
- Protein
High protein diets may be associated with stone formation. Proteins increase urinary calcium, oxalate and uric acid excretion by making the urine more acidic. It is recommended that patients known to be stone formers should not eat excessive amounts of animal proteins, for example red meat, eggs and cheese. In general, eat more vegetables as vegetable proteins tend to make the urine less acid.
You should aim to eat more vegetables and less meat, cheese and eggs.
Specific Advice
Other preventative measures can be directed towards the particular type of urinary tract stone:
- Oxalate Stones
Three quarters of stones contain a substance called oxalate. You should follow the general advice outlined above.
- Cystine Stones
It is essential to ensure a high fluid and low salt intake in the presence of a cystine stone. You may be given tablets, for example, penicillamine to prevent stone formation. You will need to be referred to a consultant nephrologist for more detailed advice regarding medication and diet.
- Uric Acid Stones
It is essential to ensure a high fluid intake with these stones as dehydration pays a large part in their formation. Patients with stones containing uric acid should eat less meat, fish and poultry – you may find it helpful to follow a diet for patients with gout, which is also triggered by rich foods with high levels of specific proteins. You may also be asked to make your urine less acidic using potassium citrate. In some cases, your doctor may prescribe a drug called allopurinol to control the level of uric acid in the blood or urine.
- Triple Phosphate, Magnesium Ammonium Phosphate, or “Struvite” Stones
These stones are associated with chronic bacterial infections. They are only seen in a small proportion of patients, about 6%. In these patients the urine needs to be kept free of infection and this may require long term antibiotics following removal of the stones.
- Summary of Suggested Dietary Modifications
- High fluid intake
- Low sodium diet
- Low animal protein diet
- Normal calcium intake unless specifically told otherwise